خدماتنا

طب الأسنان التجميلي
يهتم بتحسين مظهر الأسنان واللثة والابتسامة. يهدف الطب التجميلي للأسنان إلى تحسين الشكل واللون والموضع والحجم والترتيب العام للأسنان للحصول على ابتسامة جميلة وجذابة

زراعة الأسنان
إجراء جراحي يستخدم لاستبدال الأسنان المفقودة. يتم زراعة جذور صناعية (زرعات) في الفك لتثبيت الأسنان الاصطناعية (التيجان) واستعادة وظيفة الفم ومظهره الطبيعي.

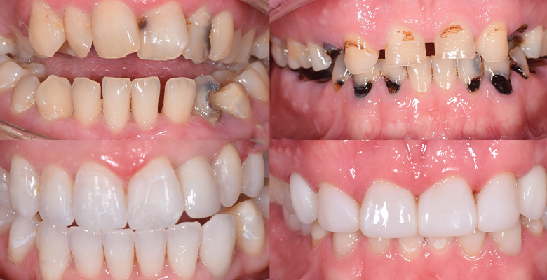
الاستعاضة السنية
تقنية التاج بتغطية جزئية أو كاملة التي تُستخدم للأسنان التالفة تعرف بتقنية التاج السني. يستخدم التاج السني لتغطية وحماية الأسنان التي تعاني من تلف كبير أو تآكل شديد أو تعرضت لعمليات جذور أو للتجميل السني.

العلاج التحفظي
يعتبر العلاج التحفظي جزءًا مهمًا من مجال طب الأسنان ويهدف إلى تجنب إزالة الأسنان أو التدخل الجراحي الكبير. و المحافظة على الأسنان الطبيعية وإجراء الإجراءات اللازمة للحفاظ على صحتها ووظيفتها في أقصى قدر ممكن.

علاج الجذور
يعتبر هذا العلاج إجراءً يتم اتباعه لعلاج وإنقاذ الأسنان التي تعاني من التهاب العصب أو العدوى البكتيرية العميقة. ويتم تنفيذ علاج الجذور بواسطة طبيب الأسنان المتخصص في تنظيف وتشخيص وعلاج أمراض الأنسجة اللينة والعصبية والوعائية المحيطة بالأسنان.

علاج التسوس
علاج التسوس يهدف إلى إزالة التسوس وإصلاح الضرر الناجم عنه، واستعادة وظيفة ومظهر السن المصاب.